Đời sống

Sau 48 giờ phẫu thuật hút mỡ và nâng ngực, một nữ Việt kiều 60 tuổi tử vong: Hé lộ nguyên nhân

Một phụ nữ gốc Việt kiều khoảng 60 tuổi đã tử vong sau khi thực hiện cùng lúc nhiều thủ thuật thẩm mỹ, gồm cắt mí, đặt túi ngực mới, hút mỡ bụng đùi và tái tạo thành bụng. Thông tin được các bác sĩ Bệnh viện Quân y 175 trình bày tại hội nghị khoa học thẩm mỹ thường niên năm 2025.

Theo báo cáo, bệnh nhân ban đầu hồi phục bình thường nhưng chỉ sau khoảng 48 giờ xuất hiện khó thở, tụt huyết áp, giảm oxy máu. Ban đầu, ê-kíp nghi ngờ phản vệ độ 3, tuy nhiên kết quả thăm khám và cận lâm sàng cho thấy người phụ nữ bị thuyên tắc mỡ và thuyên tắc phổi do mỡ - một biến chứng cực kỳ nguy hiểm của hút mỡ.

Tình trạng này nhanh chóng gây suy hô hấp, suy đa cơ quan, chảy máu vết mổ, tụ dịch ổ bụng và tổn thương nhiều cơ quan khác. Dù được hồi sức tích cực với thở máy, thuốc vận mạch, lọc máu, điều chỉnh rối loạn đông máu và sử dụng ECMO, nạn nhân vẫn không qua khỏi.

Bệnh nhân gặp tai biến nặng sau khi hút mỡ (Ảnh: BS).

Các chuyên gia cho biết thuyên tắc mỡ là biến chứng ít gặp nhưng tỷ lệ tử vong cao, thường xuất hiện trong 24 đến 72 giờ sau phẫu thuật hút mỡ. Khi mỡ xâm nhập vào tuần hoàn, chúng có thể di chuyển đến phổi hoặc các cơ quan quan trọng, gây tắc nghẽn, viêm mao mạch và tổn thương nặng nề hệ hô hấp, tuần hoàn.

Nguy cơ càng tăng khi bệnh nhân lớn tuổi, có bệnh nền hoặc thực hiện nhiều can thiệp thẩm mỹ trong một lần phẫu thuật. Nhiều nghiên cứu quốc tế ghi nhận hơn 90% các ca tử vong do thuyên tắc mỡ xảy ra trong vòng 5 ngày sau hút mỡ; đa số triệu chứng xuất hiện sớm chỉ sau 24 giờ. Các bác sĩ đánh giá việc thực hiện đồng thời quá nhiều thủ thuật như hút mỡ diện rộng, thay túi ngực, tái tạo thành bụng… khiến thời gian gây mê kéo dài, tổn thương mô lớn, nguy cơ mất máu và biến chứng tăng mạnh.

Việt Nam thời gian qua cũng ghi nhận nhiều trường hợp tử vong tương tự, trong đó phần lớn liên quan đến phẫu thuật hút mỡ hoặc nâng ngực. Sau mỗi vụ việc, cơ quan chức năng đều yêu cầu các cơ sở thẩm mỹ siết chặt quy trình, minh bạch rủi ro và đảm bảo điều kiện an toàn khi phẫu thuật. Các chuyên gia khuyến cáo người dân không nên thực hiện nhiều thủ thuật phức tạp trong cùng một lần mổ; cần chọn cơ sở được cấp phép, bác sĩ có chứng chỉ phẫu thuật thẩm mỹ và kinh nghiệm xử lý ca khó.

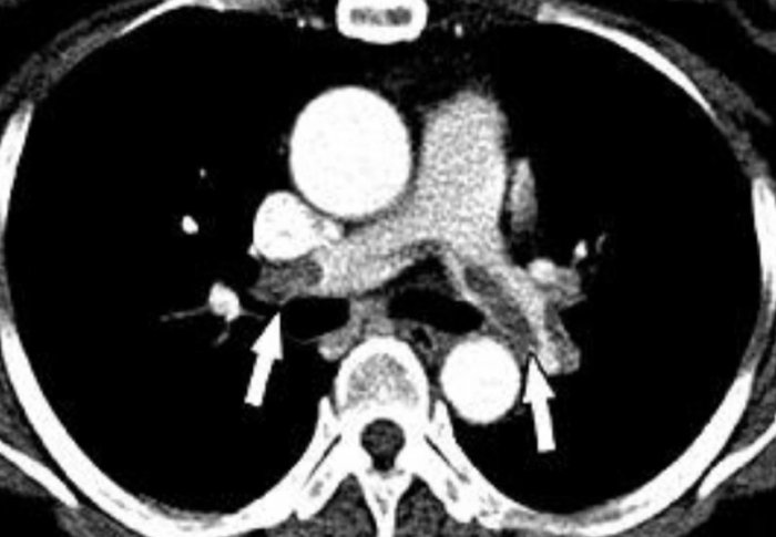
Kết quả CT cho thấy bệnh nhân thuyên tắc động mạch phổi 2 bên (Ảnh: BS)

Trước khi phẫu thuật, khách hàng phải được tư vấn rõ ràng về nguy cơ, đặc biệt là thuyên tắc mỡ, tắc mạch, shock nhiễm khuẩn hoặc suy đa cơ quan. Sau phẫu thuật, nếu xuất hiện các triệu chứng bất thường như khó thở, tím tái, đau ngực, tụt huyết áp, chảy máu nhiều… cần lập tức đến bệnh viện thay vì tự theo dõi tại nhà.

Vụ tử vong của người phụ nữ Việt kiều tiếp tục cho thấy phẫu thuật thẩm mỹ, dù phổ biến và có tính thẩm mỹ cao, vẫn tiềm ẩn rủi ro đe dọa tính mạng nếu thực hiện tại cơ sở không đảm bảo hoặc can thiệp quá mức. Đây là lời cảnh báo mạnh mẽ để người có nhu cầu làm đẹp cân nhắc kỹ trước khi quyết định.