Đời sống

Hà Nội: Nuốt phải điếu thuốc lá chứa kim loại, bé 10 tháng tuổi suýt rơi vào 'án tử'

Một bé trai 10 tháng tuổi ở Hà Nội được đưa đến BVĐK Hồng Ngọc trong tình trạng nuốt phải một phần điếu thuốc lá, bên trong chứa mảnh kim loại, sắc như lưỡi dao. Các bác sĩ đã nhanh chóng nội soi và gắp thành công dị vật, cứu bé khỏi nguy cơ thủng ruột.

Dị vật sắc bén ẩn mình trong loại thuốc lá cấu tạo đặc biệt

Tại Hà Nội, một trường hợp hy hữu và cực kỳ nguy hiểm đã xảy ra, bé trai L.M.T (10 tháng tuổi) đã suýt thủng ruột sau khi vô tình nuốt phải một phần điếu thuốc lá trong phút sơ suất của gia đình. Điều đáng nói, đây không phải loại thuốc lá thông thường.

​Khác với thuốc lá truyền thống, đây là loại thuốc lá nung nóng (hay thuốc lá điện tử/thuốc lá thế hệ mới), có cấu tạo đặc biệt với một lá kim loại mỏng, sắc bén nằm bên trong lõi, đóng vai trò dẫn nhiệt.

thuoc-la-rs
Thuốc lá có cấu tạo đặc biệt với một mảnh kim loại bên trong lõi (Ảnh: BVCC).

​Bố bé T. hoảng hốt kể lại khoảnh khắc sơ suất, bé đã cầm và nuốt ngay phần đầu điếu thuốc. Chỉ trong chốc lát, nước bọt của bé đã hòa tan lớp thuốc lá bên ngoài, để lộ ra lõi kim loại nguy hiểm. Mảnh kim loại này được mô tả là mỏng và sắc như một chiếc lưỡi dao thu nhỏ.

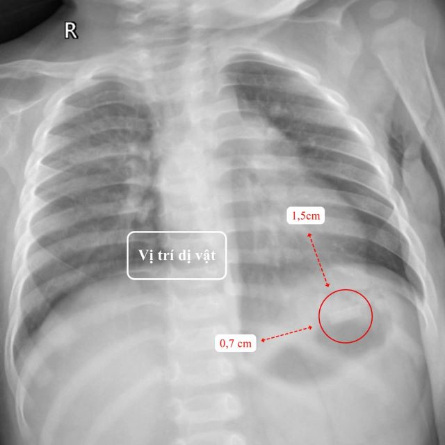
Tại Khoa Nhi - BVĐK Hồng Ngọc - Phúc Trường Minh, kết quả thăm khám lâm sàng và cận lâm sàng cho thấy một dị vật kim loại hình chữ nhật kích thước 1,5x0,7cm, có góc nhọn, mỏng và sắc như lưỡi dao nằm tại vùng hạ sườn trái, vị trí bóng hơi dạ dày của bé T. Ngoài ra, do nuốt phải một phần thuốc lá, trẻ có biểu hiện say thuốc với triệu chứng mệt mỏi, môi tái.

vi-tri-di-vat-rs
Vị trí dị vật trên phim chụp X-quang (Ảnh: BVCC).

15 phút kịch tính cứu bé khỏi 'án tử'

Nhận định độ nguy hiểm cấp tính của dị vật, các bác sĩ ngay lập tức phối hợp hội chẩn liên chuyên khoa giữa nhi tiêu hóa, ngoại tiêu hóa, gây mê hồi sức, chẩn đoán hình ảnh; quyết định lựa chọn phương án tiến hành nội soi lấy dị vật ra ngoài.

noi-soi-rs
Các bác sĩ thực hiện nội soi, gắp dị vật ra ngoài (Ảnh: BVCC).

​TS.BSNT. Phan Thị Hiền (Khoa Nhi Tiêu Hóa), người trực tiếp nội soi, nhấn mạnh: Dị vật tuy nhỏ nhưng rất sắc bén. Chỉ cần di chuyển trong ống tiêu hóa là có thể cắt rách hoặc xuyên thủng niêm mạc của bé bất cứ lúc nào, dẫn đến thủng ruột và nhiễm trùng phúc mạc.

​Khi ê-kíp nội soi, dị vật đã di chuyển xuống tá tràng. Bác sĩ Hiền cho biết, chỉ cần một cử động nhỏ nữa là dị vật có thể rơi xuống ruột non, khi đó việc xử trí sẽ vô cùng khó khăn và nguy cơ thủng ruột tăng cao.

​Cuộc nội soi diễn ra trong căng thẳng. Ê-kíp phải thực hiện từng bước thật tỉ mỉ, kiểm soát chính xác hướng di chuyển của dụng cụ gắp, đảm bảo dị vật không cọ xát vào thành ruột.

be-tinh-tao-rs
Trẻ tỉnh táo, các chỉ số ổn định sau can thiệp (Ảnh: BVCC).

​Sau 15 phút kịch tính, TS. Phan Thị Hiền cùng ê-kíp đã gắp thành công mảnh kim loại sắc bén ra ngoài an toàn. Sau can thiệp, may mắn đường tiêu hóa của bé không hề bị trầy xước hay tổn thương. Bé tỉnh táo, chơi ngoan, ăn tốt, không đau bụng, không nôn. Các chỉ số sinh tồn ổn định và trẻ được xuất viện ngay trong ngày.