Chồng đột quỵ trong nhà vệ sinh, vợ nhanh chóng làm 1 việc để ‘cầu may’ khiến chồng thêm nguy kịch
Hành động vắt chanh vào miệng chồng để ‘cầu may’ trong lúc chồng bị đột quỵ của người vợ khiến cho anh V. ở TP.HCM rơi vào nguy kịch.
Vào sáng ngày 17/11, ông H.V. (43 tuổi, trú tại phường An Lạc, TPHCM) đã được gia đình gọi cấp cứu khẩn cấp trong tình trạng nguy kịch, nghi do đột quỵ. Theo lời kể của người nhà, trước đó ông V. hoàn toàn khỏe mạnh, không hề có bất kỳ biểu hiện bất thường nào. Khi người thân chờ đợi ông lâu hơn thường lệ vào buổi sáng, họ lên tầng kiểm tra và hoảng hốt phát hiện ông V. đã gục ngã bên trong nhà vệ sinh.
Gia đình lập tức gọi đến số cấp cứu 115. Tuy nhiên, trong lúc chờ đợi đội ngũ y tế, người vợ đã cuống cuồng vắt chanh vào miệng chồng với hy vọng "cầu may" theo kinh nghiệm dân gian.
Theo bác sĩ Nguyễn Thắng Nhật Tuệ, Trưởng khoa Cấp cứu, Bệnh viện Gia An 115, khi nhân viên y tế tiếp cận hiện trường, bệnh nhân đã ở trong trạng thái lơ mơ, chỉ còn đáp ứng với kích thích đau, kèm theo liệt hoàn toàn nửa người trái và mất khả năng ngôn ngữ. Huyết áp của ông V. đo được là cực kỳ cao: 248/184 mmHg. Sau khi xử trí sơ bộ, ê-kíp đã lập tức chuyển bệnh nhân đến bệnh viện để can thiệp cấp cứu.
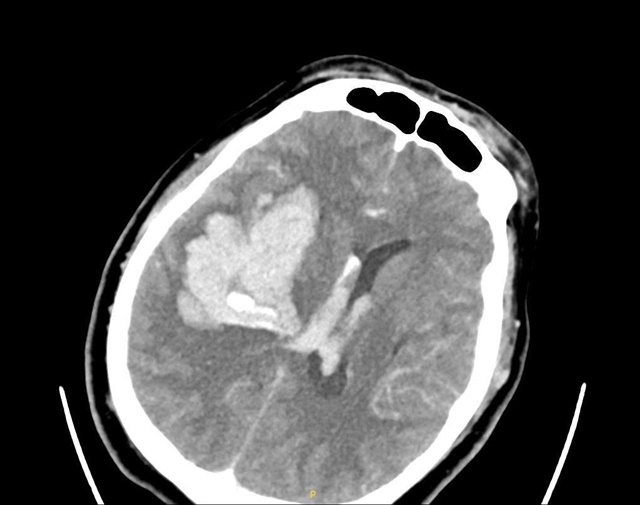
Kết quả chụp CT não tại bệnh viện cho thấy ông V. bị xuất huyết não diện rộng. Bệnh nhân được chỉ định đặt nội khí quản để bảo vệ đường thở và chuyển thẳng lên phòng mổ cấp cứu. Trong quá trình đặt ống nội khí quản, các bác sĩ đã hút ra một lượng lớn nước cốt chanh cùng với cặn thuốc đọng lại trong họng bệnh nhân. Bác sĩ xác định chính hành động cho bệnh nhân uống chanh, thuốc và chất lỏng của người nhà đã khiến chúng trào ngược vào đường thở, làm tình trạng suy hô hấp của người bệnh trở nên nguy kịch nhanh hơn. Sau một ngày cấp cứu tích cực, bệnh nhân vẫn phải nằm hồi sức.
Khai thác thêm tiền sử bệnh án, bác sĩ được biết ông V. từng phải đi cấp cứu nhiều lần vì huyết áp cao. Tuy nhiên, mặc dù được kê thuốc điều trị ổn định, ông V. lại có thói quen tự ý bỏ thuốc mỗi khi cảm thấy cơ thể khỏe mạnh trở lại.
Bác sĩ Tuệ nhấn mạnh rằng đột quỵ là một bệnh lý nguy hiểm có thể xảy ra với bất kỳ ai, nhưng nhiều trường hợp hoàn toàn có thể phòng tránh nếu tuân thủ chỉ định điều trị và không xử trí sai lầm trong lúc chờ cấp cứu.

Hình ảnh phim chụp bệnh nhân bị xuất huyết não lượng lớn bán cầu phải.
Từ vụ việc của ông V., bác sĩ Tuệ đưa ra ba khuyến cáo quan trọng cho cộng đồng:
- Cảnh báo về Tăng huyết áp: Trường hợp của ông V. là lời cảnh báo về sự phổ biến và mức độ nguy hiểm của bệnh tăng huyết áp, đặc biệt là ở người trẻ. Hành động bỏ thuốc điều trị, xem nhẹ chỉ số huyết áp hoặc sơ cứu sai cách có thể cướp đi cơ hội sống sót của người bệnh.
- Hành động khẩn cấp: Cần gọi cấp cứu 115 ngay lập tức, sau đó mở cửa nhà, dọn dẹp lối đi và theo dõi sát sao hô hấp, tuần hoàn của bệnh nhân cho đến khi nhân viên y tế đến.
- Sơ cứu đúng cách: Đối với bệnh nhân nghi ngờ đột quỵ và đang trong trạng thái hôn mê, lơ mơ hoặc yếu liệt, nguyên tắc vàng là tuyệt đối không được cho uống bất cứ thứ gì, kể cả nước hay nước chanh, vì nguy cơ gây sặc, tắc nghẽn đường thở, làm tình trạng nguy kịch hơn. Cần đặt bệnh nhân ở tư thế nằm nghiêng an toàn (đầu thấp, miệng mở) để chất nôn hoặc đờm dãi dễ dàng thoát ra ngoài.
Bác sĩ cũng cực lực phản đối các biện pháp dân gian phản khoa học như chích máu dái tai, nặn máu đầu ngón tay, bôi vôi, hoặc để bệnh nhân nằm bất động. Những hành động này chỉ làm chậm trễ "thời gian vàng" để cứu chữa. Bác sĩ Tuệ kết luận, nếu nghi ngờ đột quỵ, nguyên tắc bắt buộc là đưa bệnh nhân đến bệnh viện càng sớm càng tốt, bởi mỗi phút trôi qua, hàng triệu tế bào não sẽ bị tổn thương vĩnh viễn.