Nguyên nhân khiến nam sinh lớp 12 tử vong trong quán bida: Không phải vì bị đánh, lộ chi tiết lạ
Theo bác sĩ, nạn nhân tử vong không phải vì bị đánh mà do bệnh lý. Phân tích kết quả CT Scan vùng cổ cho thấy nhiều điều đáng chú ý.
Thông tin từ báo Người Lao Động cho biết, vụ xô xát tại quán bida ở phường Ba Đồn (Quảng Trị) khiến Phạm Anh Q. (16 tuổi) tử vong, dư luận xuất hiện nhiều ý kiến cho rằng nạn nhân có thể chết do tác động ngoại lực.
Tuy nhiên, trao đổi với Báo Người Lao Động, bác sĩ Nguyễn Đức Hùng – Trưởng khoa Chẩn đoán hình ảnh, Bệnh viện Hữu nghị Việt Nam - Cuba Đồng Hới – cho biết, dựa trên các biểu hiện trong video và kết quả hình ảnh khi bệnh nhân được đưa đến cấp cứu, nhiều khả năng Q. tử vong liên quan đến bệnh lý phình mạch máu não bẩm sinh, chứ không phải do bị đánh. Đây là một dị dạng mạch não có thể vỡ bất cứ lúc nào, nhất là khi gắng sức.
“Phình mạch não giống như "cái săm xe đạp" phồng lên bên trong mạch máu. Nó có thể vỡ bất kỳ lúc nào nếu áp lực tăng đột ngột. Trong lúc xô xát, nhịp tim và huyết áp của cháu Q. tăng mạnh, gây tăng áp lực nội sọ và khiến túi phình vỡ dẫn đến xuất huyết não”, bác sĩ Hùng nói.
Bệnh lý này rất khó phát hiện nếu không chụp CT mạch não hoặc MRI mạch não, vì người mắc thường không có triệu chứng rõ rệt.
Một chi tiết quan trọng mà bác sĩ Hùng nhấn mạnh là tư thế ngã của nạn nhân trong đoạn video lan truyền: Đầu của Q. gần như rơi tự do, không có phản xạ gồng cổ – đầu – ngực để giảm chấn thương như người bình thường. Đây là dấu hiệu cho thấy não có thể đã xuất huyết cấp tính trước khi cơ thể tiếp đất. Sau cú ngã, nạn nhân còn xuất hiện cơn co giật, phù hợp với tình trạng tổn thương não nặng.
Vị bác sĩ chia sẻ: “Trước lúc ngã hình như bị kéo chân, nhưng động tác ngã của nạn nhân không như bình thường. Nếu là mình, mình sẽ gồng dậy - phản xạ tự nhiên kẻo đầu bị đập ra sau nhưng em Q. để đầu rơi tự do và để ý kỹ, về sau xảy ra hiện tượng co giật. Đấy là tổn thương não”.

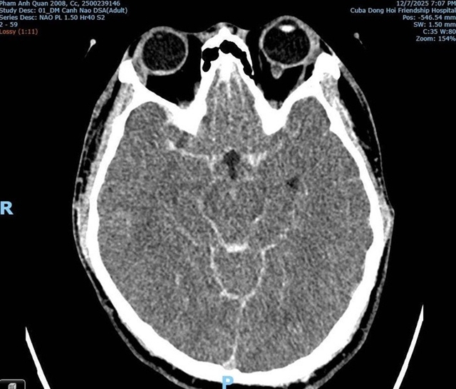
Hình ảnh CT/MRI: Xuất huyết dưới nhện do vỡ phình mạch máu não của bệnh nhân Phạm Anh Q. thời điểm tại Bệnh viện Hữu nghị Việt Nam - Cuba Đồng Hới
Phân tích từ hình ảnh chẩn đoán, bác sĩ Hùng khẳng định không ghi nhận tổn thương xương cột sống cổ, không tổn thương vòm sọ và không có dấu hiệu lực tác động đủ mạnh để gây tử vong. Ngược lại, kết quả chỉ cho thấy xuất huyết não lan tỏa kèm phù não – điển hình của vỡ phình mạch. Ông nhấn mạnh đây là nhận định chuyên môn cá nhân qua góc nhìn chẩn đoán hình ảnh; kết luận chính thức vẫn phải chờ giám định pháp y.
Theo thông tin ban đầu, khoảng 15 giờ 25 ngày 7/12, tại quán bida Sky Billiard Club Cafe, giữa Nguyễn An Bảo Chinh (SN 2007) và Phạm Anh Q. (SN 2008) xảy ra mâu thuẫn dẫn đến xô xát. Q. ngã xuống bất tỉnh, được đưa đến bệnh viện nhưng tử vong chiều 8/12; Chinh chỉ bị thương nhẹ. Công an phường Ba Đồn sau đó báo cáo lên cấp trên, và Cơ quan CSĐT Công an tỉnh Quảng Trị đã tạm giữ Chinh để điều tra nguyên nhân tử vong. Được biết, cả hai là bạn bè thân thiết, thường xuyên chơi cùng nhau và mâu thuẫn xảy ra khá bất ngờ tại quán bida.