Việt Nam

Chơi pickleball không đúng cách, người đàn ông ở Hà Nội nhận kết quả sốc

Sau trận đấu pickleball, một người đàn ông 37 tuổi tại Hà Nội xuất hiện tình trạng đau lưng, kết quả chụp MRI gây sốc.

Mới đây, BS Cao Thanh Phong (Chuyên ngành Y học cổ truyền, Cơ xương khớp và thần kinh cột sống, làm việc tại Hà Nội) tiếp nhận bệnh nhân nam 37 tuổi, nhân viên văn phòng tại Hà Nội bị thoát vị đĩa đệm do chơi pickleball sai cách. Do tính chất công việc, anh ngồi nhiều, ngồi lâu 1 chỗ. Khi phong trào chơi pickleball nở rộ, nghĩ bộ môn có vẻ nhẹ nhàng lại vui vẻ, anh đăng ký tham gia chơi mà không có hướng dẫn tập luyện trước đó.

nguoi dan ong choi pickleball bi chan thuong
Chơi pickleball không đúng cách có thể dẫn đến chấn thương nặng.

Cách đây 2 tháng, bệnh nhân ngã đập người khi chạy theo đón bóng trái tay. Định đứng dậy, anh nghe thấy tiếng kêu “khục”, rồi không thể tự đứng dậy được. Về nhà, anh xuất hiện tình trạng đau lưng. Ngồi đau, đứng đau, đổi tư thế cũng khiến anh đau đớn vô cùng. Không chịu đựng nổi, anh quyết định đi khám.

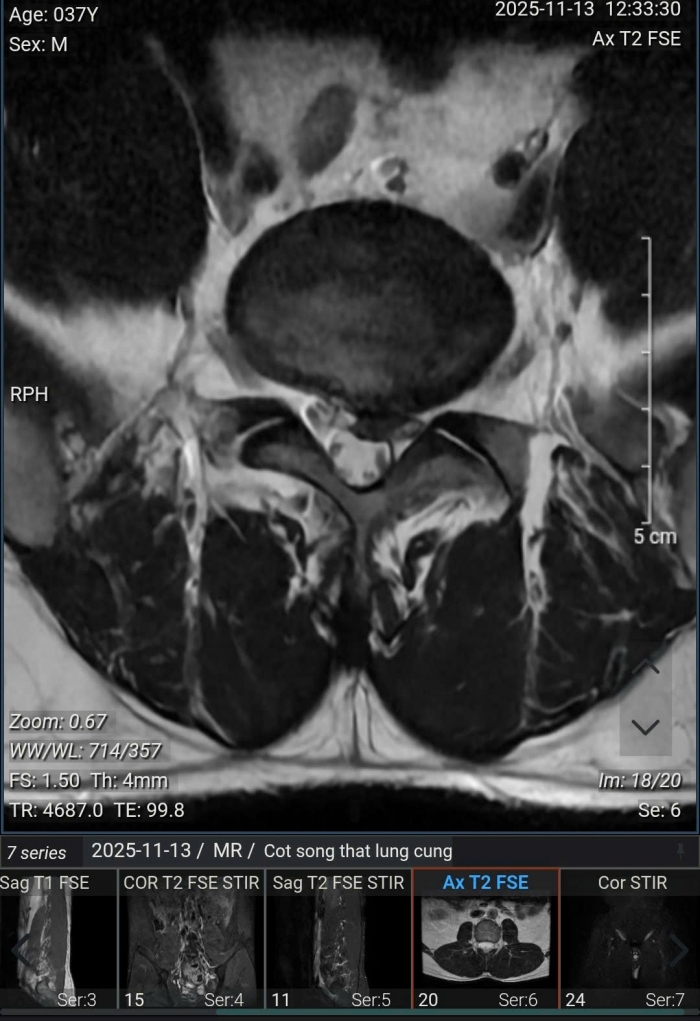
Kết quả chụp MRI cho thấy, bệnh nhân bị thoái hóa cột sống thắt lưng, thoát vị nội xốp các đĩa đệm từ L2/3 đến L5/S1, phình - thoát vị đĩa đệm L4/5 ra sau thể trung tâm gây chèn ép bao màng cứng, gây hẹp nhẹ ống sống, không gây chèn ép rõ rệt các rễ thần kinh; phình - thoát vị đĩa đệm L5/S1 ra sau thể trung tâm lệch trái gây chèn ép bao màng cứng, gây hẹp ống sống, hẹp ngách bên - lỗ tiếp và chèn ép các rễ thần kinh 1 bên ngang mức (trái > phải).

chan-thuong-pickleball1
chan thuong pickleball 2

Ảnh chụp MRI của bệnh nhân nam 37 tuổi tại Hà Nội.

Bác sĩ chỉ định anh phải làm giãn các nhóm co cơ hướng tâm, bôi gel lạnh để giảm đau, nằm nghỉ ngơi để qua cơn đau cấp. Ăn kiêng theo chế độ riêng, tránh các thực phẩm gây viêm. Tập đều đặn mỗi ngày từ ngày bắt đầu điều trị theo bài tập cá nhân hoá, rảnh là tập khoảng 2-3 lần/ngày. Sau 7 ngày điều trị, kết quả cải thiện rõ rệt, bệnh nhân đã có thể đi lại và làm việc thoải mái.